Patient came from a village and had a history of handling the animals ( cows & buffaloes)
She had a lump in right hypochondrium having no complaint of pain
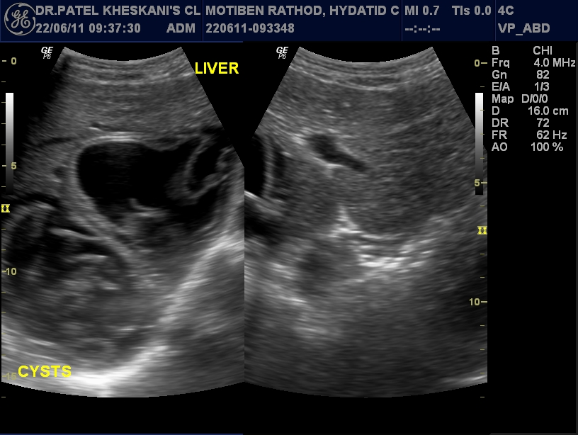
Ultrasonography was done which shows multiple cystic lesions in liver.
One of the crumpled cyst is with multiple septas.












No comments:
Post a Comment